
Laser para Frenectomía: Precisión y Recuperación Rápida
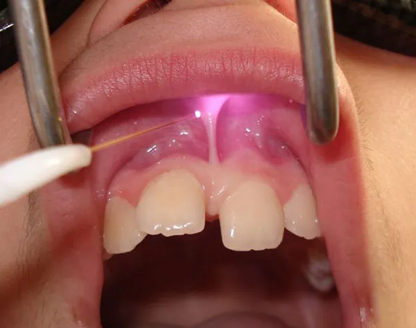
En Vidasalud Dental contamos con tecnología láser de última generación para realizar el tratamiento de frenectomía (labial o lingual).

En Vidasalud Dental contamos con tecnología láser de última generación para realizar el tratamiento de frenectomía (labial o lingual).

En Vidasalud Dental ofrecemos alineadores invisibles como una excelente opción para corregir la posición dental,

Brindando Atención Dental Sensible para Pacientes TEA: La Importancia del Óxido Nitroso en Vidasalud Dental.

Por qué Deberías Elegir a un Cirujano Maxilofacial para tus Procedimientos Dentales más Complejos

Atención Inmediata para tus Urgencias Dentales: Vidasalud Dental a tu Servicio

Descubre las Innovadoras Opciones de Prótesis Dental: Alternativas y Expertas Recomendadas.

En Vidasalud Dental nos enorgullece ofrecer una amplia gama de servicios de cirugía maxilofacial, diseñados para mejorar la salud y la estética de nuestros pacientes. En esta ocasión, queremos hablarte sobre uno de los procedimientos más comunes en esta especialidad: la extracción de terceros molares, también conocidos como muelas del juicio.

Transforma tu Sonrisa: Descubre las Carillas Dentales de Resina y Cerámica con los Expertos en Odontología Estética

En toda atención odontológico se da, en diversa medida, dos factores que pueden afectar la calidad de la atención misma: ansiedad y dolor, los que potencialmente pueden generar además diversos grados de secuelas psicológicas.

Experimenta la comodidad y relajación con óxido nitroso en Vidasalud Dental.


Resalta tu belleza natural con Carla Flores Squella en Vidasalud Dental.
Nuestro principal objetivo es mejorar la calidad de vida de las personas a través de la prevención y educación.
Cel · Whatsapp: +569 3371 5083
Ver Políticas y Condiciones
Aníbal Pinto 340, local 2B (2do piso), Concepción
Lu – Vi 9:00 – 19:00 · Sáb 10:00 – 14:00
Nuestra pasión por la odontología además de nuestra calidez y cordialidad, nos permite ser el mejor equipo para lograr una excelente salud dental para ti y toda tu familia.
Enfocad@s en una odontología humana, sabiendo y entendiendo la importancia de que tiene la sonrisa en la salud integral de todos y todas.
